Оплачивайте покупки частями и без переплат в Яндекс Сплит: просто разделите платеж на 4 равные части
и забирайте заказ когда Вам удобно в ближайшем ПВЗ Яндекс Маркета


Номер клиента:
Номер клиента:
Корзина (0)
Приём звонков с 0800 до 2200
info@oxy2.ru или b2b@oxy2.ru
Номер клиента:
Заказать звонок
Корзина (0)
Каталог товаров

Производители


Новости
26.12.2025
График работы в праздничные дни
Подробнее
28.04.2025
График работы с 1 по 10 мая 2025
Подробнее
08.10.2020
Рассрочка 0% на 6 месяцев по карте Халва
Подробнее
Все новости
Информация
Приспособления для ванной комнаты
Подробнее
Прогулочная кресло-коляска для инвалида
Подробнее
Что такое неинвазивная вентиляция легких, что входит в нее?
Подробнее
Все статьи
← Вернуться в каталог

Аппарат УЗИ Mindray Z60 Vet

Артикул: 12641 Наличие: Под заказ, сроки уточняйте Добавить к сравнению
Способы оплаты - узнать больше
  • Наличный расчет
  • Безналичный расчет
  • В рассрочку или в кредит
  • Банковскими картами Visa / MasterCart / МИР
Запросите коммерческое предложение и технические характеристики для авторизации проекта

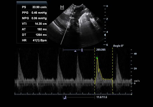
Аппарат среднего класса с цветным допплером для обследования животных: от мелких домашних до крупных сельскохозяйственных животных. Диагностическая система имеет компактные размеры, небольшой вес и сумку для переноски, которая обеспечивают удобства для транспортировки. Прибор может работать одновременно с тремя датчиками. Mindray Z60 Vet автоматически распознает структуры анатомических областей, увеличивает контрастность их краев и контуров. Аппарат многофункционален, производителен и обладает отличной глубиной визуализации.

Датчики: 

  • P7-3P - высокочастотный секторный фазированный датчик для кардиологических и абдоминальных исследований у мелких/средних собак, кошек;
  • 2P2P - секторный фазированный датчик для кардиологических и абдоминальных исследований у крупных и средних собак;
  • 6C2P - микроконвексный датчик для абдоминальных и кардиологических исследований у мелких домашних животных;
  • L14-6P - высокочастотный линейный датчик для исследований в области ортопедии, малых органов, сосудов;
  • 3C5P - конвексный датчик для абдоминальных исследований у крупных и средних собак;
  • 7L4P - линейный датчик для исследований в области ортопедии, малых органов, сосудов;
  • 6LE5VP - линейный ректальный датчик для лошадей или КРС.
Область применения

Аппарат автоматически распознает структуры внутренних органов и тканей. Подходит для использования в небольших ветеринарных клиниках, для врача на выезде. Может применяться ветеринаром в условиях животноводческой фермы или домашнего хозяйства.

Особенности модели
  • Аппарат поддерживает работу с разными датчиками: конвексными, линейными, полостными и другими;
  • Тканевая визуализация для количественной оценки движения и функции миокарда животных;
  • Оснащен 15-дюймовым экраном с углом поворота 60 градусов и удобной панелью управления;
  • Фазовый сдвиг обеспечивает большую диагностическую достоверность;
  • Компактные размеры позволяют применять прибор в любом месте;
  • Эргономичный дизайн.
Инструкция по эксплуатации
Скачать инструкцию в формате PDF
(1.56 Мб)
Страна производства Китай
Класс аппарата Средний
Размер экрана в дюймах 15
Виды поддерживаемых датчиков конвексный, микроконвексный, линейный, секторный фазированный
Тип устройства Портативный
Touch Screen Нет
Кинопетля автоматический и ручной с выбором момента просмотра
Внутренняя память 500 Гб
Порты 2
Режимы сканирования B/M/Color Dopler/Color M/Power/Directional Power Doppler Flow Imaging
Технологии iStorage, iTouch, iZoom, iStation, PSH, DICOM, ExFOV, B-Steer, Free Xros M, Color M, TDI - Tissue Doppler Imaging.
Поддержка тканевого доплера (TDI) Да
Поддержка постоянно-волнового доплера (CW) Нет
Области применения Ветеринария
Наличие режима 4D Нет
Вес (без батареи) 8,2 ± 0,5 кг
Габариты (Д*Ш*В) 147 / 361 / 368 см
Алфавитно-цифровая QWERTY-клавиатура с подсветкой да
Мультифункциональные регуляторы да
Трекбол для настройки и переключения между пунктами меню да
Эргономичные клавиши для пользовательского программирования да
Режимы просмотра кинопетли автоматический и ручной с выбором момента просмотра
Настраиваемый формат изображения 1, 1:2, полностью
Двойной дисплей B/C, B/TDI, B/M, B/PW да
Угол наклона монитора 60 градусов
Трапецеидальное изображение да
Аппарат УЗИ Mindray Z60 Vet 1шт.
Инструкция по эксплуатации 1шт.
Сумка для переноски 1 шт.
Гарантия 1 год
Производитель Mindray
Вопросы, комментарии и отзывы
Добавить вопрос, комментарий или отзыв:
Сравнение 0
Корзина 0 Добавлено в корзину 0 руб
Оставить предзаказ на товар